Skip to content
You are here
Home
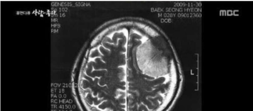
빽가 뇌종양 사실이 알려지게 된 과정 ㄷㄷㄷ
빽가 뇌종양 사실이 알려지게 된 과정 ㄷㄷㄷ
October 18, 2025
pullman
Post Views:
301
Post navigation
역대급이라고 일본에서 난리난 ㅅ-매-매 범죄자 얼굴 ㄷㄷㄷ
큰 거 온다.. 레전드 A…브이 누나 메구리 다음달 신작
Related posts
December 2, 2025
pullman
0
100% 자연산이라는 여캠 ㅁ-드ㄷㄷㄷ
Post Views: 288
Uncategorized
December 2, 2025
pullman
0
실시간 커뮤에서 난리난 허각 형 허공 충격적인 근황ㄷㄷㄷ
Post Views: 179
Uncategorized
December 2, 2025
pullman
0
참다참다 시어머니한테 카톡한 며느리
...
Uncategorized
Leave a Comment
Cancel reply
Save my name, email, and website in this browser for the next time I comment.